кіру
Общественно-политическое направление
Социальная политика
Закон и порядок
Цифровой Казахстан
Русский
Қазақ тілі
кіру
қош келдіңіз!
тіркелгіңізге кіріңіз
Логин
Пароль
құпия сөзіңізді ұмыттыңыз ба?
Құпиясөзді қалпына келтіру
Парольді қалпына келтіру
Электрондық пошта
іздеу
-1.1
C
Taldykorgan, KZ
Среда, 25 февраля, 2026
Кіру
кіру
Талдықорған таңы
Логин
Пароль
Forgot your password? Get help
Құпиясөзді қалпына келтіру
Парольді қалпына келтіру
Электрондық пошта
Құпия сөз сізге электронды пошта арқылы жіберіледі.
Талдықорған таңы
FreeCurrencyRates.com
Общественно-политическое направление
Общественно-политическое направление
Государственные реформы: от норм – к гарантиям
Общественно-политическое направление
Брак и семья — ценностный ориентир государства
Общественно-политическое направление
Госсоветник рассказал членам Национального курултая о значимости и результатах президентских реформ
Общественно-политическое направление
Глава государства рассказал о положительных изменениях на селе
Общественно-политическое направление
Касым-Жомарт Токаев: «После президентских выборов первый Указ, который я поддерживаю, касался…
Социальная политика
Социальная политика
Порядка 202 млрд тенге получили многодетные семьи и награжденные матери в…
Социальная политика
Почти 300 млрд тенге выплачено в 2025 году казахстанцам в виде…
Социальная политика
Более 90% организаций, оказывающих спецсоцуслуги, уже получили лицензии
Социальная политика
Грантовое финансирование в Жетісу: катализатор социальных изменений
Социальная политика
Сколько средств предусмотрено на соцобязательства в области Жетісу
Закон и порядок
Закон и порядок
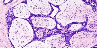
Рак молочной железы
Закон и порядок
Выявлены нарушения антимонопольного законодательства на рынке оптовой реализации кефира
Закон и порядок
Подтвержден факт картельного сговора при государственных закупках
Закон и порядок
Исполнено предписание антимонопольного органа
Закон и порядок
28 февраля 2026 года – последний день подачи уведомления о применяемом…
Цифровой Казахстан
Цифровой Казахстан
Цифровая грамотность в ЦОН: в Астане стартовало бесплатное обучение для граждан
Цифровой Казахстан
Кибератака GhostPairing позволяет мошенникам получить полный доступ к WhatsApp без взлома…
Цифровой Казахстан
Изменения, которые видны: цифровизация, инфраструктура и возврат активов глазами граждан
Цифровой Казахстан
Запущена платформа для подачи заявок на использование ресурсов национального суперкомпьютера Alem.Cloud
Цифровой Казахстан
Цифровые решения в Госкорпорации: от бумажных документов к современной системе обслуживания
Русский
Қазақ тілі
үй
2026
Февраль
23
Күнделікті мұрағат: 23.02.2026
Общество
Молодежь из всех регионов страны принимает активное участие в информационной кампании
Алма Уразаева
-
23.02.2026
Здоровая нация, развитие здравоохранения
Пиелонефрит: этиология, лечение и рентгенодиагностика
Алма Уразаева
-
23.02.2026
Здоровая нация, развитие здравоохранения
Гинекомастия у мужчин
Алма Уразаева
-
23.02.2026
Здоровая нация, развитие здравоохранения
Липома молочной железы
Алма Уразаева
-
23.02.2026
Здоровая нация, развитие здравоохранения
Жировая инволюция
Алма Уразаева
-
23.02.2026
Закон и порядок
Рак молочной железы
Алма Уразаева
-
23.02.2026
Здоровая нация, развитие здравоохранения
Мастит и лактостаз
Алма Уразаева
-
23.02.2026
Здоровая нация, развитие здравоохранения
Внутрипротоковая папиллома
Алма Уразаева
-
23.02.2026
Здоровая нация, развитие здравоохранения
Фиброаденома
Алма Уразаева
-
23.02.2026
Здоровая нация, развитие здравоохранения
Киста молочной железы
Алма Уразаева
-
23.02.2026
1
2
2 бет 1
Edit with Live CSS