Липома молочной железы
Липома представляет собой доброкачественную опухоль, развивающуюся из зрелых жировых клеток. Она локализуется преимущественно в подкожном слое молочной железы и имеет мягко-эластическую консистенцию.
Заболевание характеризуется медленным...
Жировая инволюция
Жировая инволюция молочных желез — это естественный возрастной процесс, при котором железистая ткань постепенно замещается жировой.
Обычно этот процесс активизируется в период менопаузы из-за снижения...
Мастит и лактостаз
Лактостаз и мастит являются воспалительными заболеваниями, связанными с нарушением оттока секрета из млечных протоков. Лактостаз — это застой молока, который без должной помощи переходит...
Внутрипротоковая папиллома
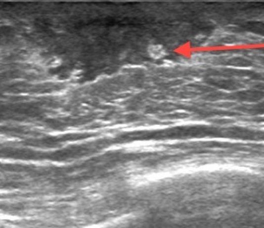
Внутрипротоковая папиллома, также известная как болезнь Минца, представляет собой папиллярное разрастание эпителия в просвете млечного протока.
Характерным симптомом заболевания являются спонтанные выделения из соска, которые...
Фиброаденома
Фиброаденома является наиболее распространенной доброкачественной опухолью молочной железы, состоящей из железистых и фиброзных элементов.
Она чаще диагностируется у молодых женщин в период активной гормональной перестройки....
Киста молочной железы
Киста молочной железы — это патологическая полость в ткани железы, заполненная жидкостью, которая образуется вследствие расширения одного из млечных протоков.
Пациентки могут жаловаться на локальную...
Диффузная мастопатия
Диффузная мастопатия представляет собой доброкачественное изменение структуры молочных желез, характеризующееся нарушением соотношения соединительнотканного и эпителиального компонентов.
Данное состояние часто проявляется циклической масталгией, чувством распирания и...
Биофармацевтический комплекс полного цикла на 103 млрд тенге построят в Казахстане
📌 В рамках реализации поручений Президента РК по доведению доли отечественного производства в фармацевтической отрасли до 50% в Казахстане будет реализован крупный стратегический инвестиционный проект....
Отравление дезинфектантами: профилактика, первая помощь
Опасность дезинфекционных, дезинсекционных, дератизационных средств (далее-дезсредств), устанавливается согласно классификации опасности средств дезинфекции, дезинсекции, дератизации. Различают 4 класса опасности, условия применения дезсредств определяются степенью их...
Порядок оказания государственной услуги для объектов общественного питания
Согласно Закона Республики Казахстан «О разрешениях и уведомлениях» - осуществление физическими и юридическими лицами деятельности или действий (операций) установлен разрешительный или уведомительный порядок, без...































